91视频污污污,91视频下载免费,91视频APP污视频APP,91视频污污网站免费观看

    91视频下载免费仪,91视频下载免费检测仪,便携式91视频下载免费检测仪,超声91视频下载免费检测仪厂家,91视频下载免费检测仪品牌,超声91视频下载免费仪品牌,91视频APP污视频APP,91视频APP污视频APP品牌

    超声91视频下载免费仪

    便携式91视频下载免费检测仪厂家

    全国咨询热线

    13616324057

    91视频APP污视频APP厂家

    联系91视频污污污

    山东91视频污污污电子科技有限公司

    地址:山东省薛城区神工路威智药业
    邮箱:325925635@qq.com

    咨询热线13616324057

    超声91视频下载免费检测仪品牌如何检测骨骼微量元素为预防骨质疏松提供中要诊断依据

    发布时间:2019-11-29 15:57:18人气:
    超声91视频下载免费检测仪品牌如何检测骨骼微量元素为预防骨质疏松提供中要诊断依据
    【公司】山东91视频污污污
    【标题】《超声91视频下载免费检测仪品牌如何检测骨骼微量元素为预防骨质疏松提供中要诊断依据》
    【摘要】哪个91视频下载免费检测仪品牌种类好?哪个生产厂家仪器能够准确提供诊断报告单,是91视频污污污关心事情。现在如今生产厂家很多,生产出来的产品种类型号进口国产很多,91视频污污污调花眼啦都,哪个品牌超声91视频下载免费检测仪能够准确检测骨骼微量元素为预防骨质疏松提供中要诊断依据呢?今天我呢就来谈谈;
    【关键词】超声91视频下载免费检测仪品牌
    【联系电话】13616324057(同微信号)
     
            哪个91视频下载免费检测仪品牌种类好?哪个生产厂家仪器能够准确提供诊断报告单,是91视频污污污关心事情。现在如今生产厂家很多,生产出来的产品种类型号进口国产很多,91视频污污污调花眼啦都,哪个品牌超声91视频下载免费检测仪能够准确检测骨骼微量元素为预防骨质疏松提供中要诊断依据呢?今天我呢就来谈谈;

    超声91视频下载免费检测仪品牌如何检测骨骼微量元素为预防骨质疏松提供中要诊断依据
     
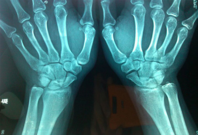
            91视频下载免费正常值全名是人体骨骼矿物相对密度,是人体骨骼抗压强度的一个关键指标值,以克/每立方厘米表达,是一个绝对值。
     
            身体骨矿物含水量与人体骨骼抗压强度和细胞外液平稳息息相关,因而是点评人们身体状况的关键指标值。在生理学情况下,肌肉骨骼中骨矿物含水量随年纪不一样而异,在病理学情况下,一些药品可造成骨矿物含水量更改。因此人体骨骼矿含量的定量测定已成为现代医学的一个重要课题。
     
            骨矿的基本检验关键是根据对身体骨矿含水量测量,立即得到骨矿物关键是钙的精确含水量,它对分辨和科学研究人体骨骼生理学、病理学与人的衰退水平及其确诊满身各种各样病症均有关键功效。平常人骨矿含水量与性別、年纪息息相关。同龄不同性别有差异,女性低于男性。同一性別年纪提高产生相对的转变,35-40岁之后骨矿含水量出現慢慢降低发展趋势,女士尤其明显。

    超声91视频下载免费检测仪品牌如何检测骨骼微量元素为预防骨质疏松提供中要诊断依据
     
            超声91视频下载免费检测仪品牌分析这些生理变化数据也为诊断不同原因引起的疾病和骨矿物质含量变化提供了重要的诊断依据。


            热搜词: 91视频下载免费检测仪品牌    91视频下载免费生产厂家    91视频下载免费检测仪
     
    <超声91视频下载免费检测仪品牌如何检测骨骼微量元素为预防骨质疏松提供中要诊断依据>-山东91视频污污污
    http://www.skf-tj.com
    来源网络

     

    厂家咨询电话:13616324057(微信同号)

    本篇文章网址:http://www.skf-tj.com/wenti/819.html

    本站声明:网站部分内容及图片来源于网络,本站只提供存储,如有侵权,请联系91视频污污污,QQ: 325925635 ,91视频污污污将第一时间删除!

    推荐资讯

    网站地图